Com tratamento, torna-se possível o paciente diagnosticado prolongar a expectativa de vida.
A Secretária de Estado de Saúde Amazonas (SES-AM), em alusão ao Dia Mundial da Leucemia Crônica (LCM), celebrado nesta sexta-feira (22/09), alerta a população sobre a importância do diagnóstico e tratamento precoce da doença.
A LMC é um tipo de leucemia que progride devagar (crônica) e envolve as células mieloides da medula óssea. A doença é classificada pela Organização Mundial da Saúde (OMS) como uma “neoplasia mieloproliferativa” que é quando a medula óssea produz células sanguíneas em excesso.
A hematologista Rosângela Abreu, especialista da Fundação Hospitalar de Hematologia e Hemoterapia do Amazonas (Hemoam), unidade SES-AM, explica que o primeiro contato do paciente com o hematologista se dá após a primeira consulta na triagem, onde o médico percebe as alterações do hemograma e encaminha para o hematologista.
Veja também

Prefeitura promove ações de conscientização sobre a doença de Alzheimer nas unidades de saúde
.jpg)
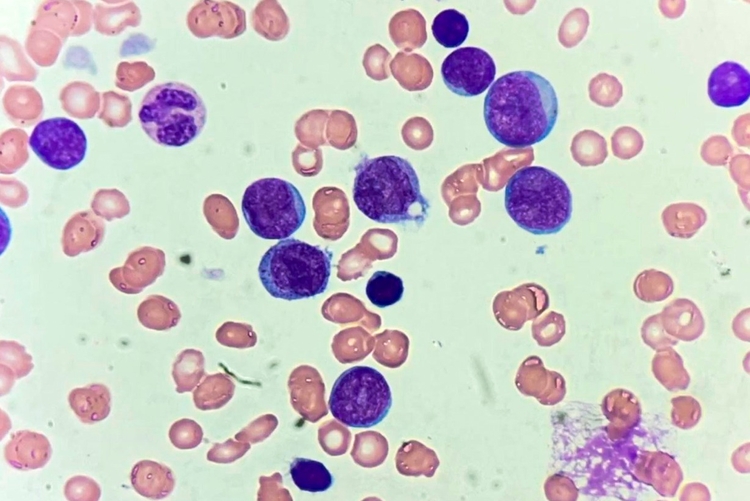
Além disso, ela esclarece que 50% dos casos são assintomáticos, então não é visível como na leucemia linfoblástica aguda (LLA) que tem o inchaço do baço, manchas roxas e causa náuseas, no caso da LMC somente é visível microscopicamente, as células afetadas que ficam roxas, no qual seriam as células inflamadas.
“O hematologista confirma a suspeita diagnóstica e indica coleta de medula óssea, exame chamado mais o cariótipo que vai detectar alterações genéticas que comprovam a doença. Além da coleta de medula, é feito também um exame por biologia molecular chamado BCR-ABL qualitativo que detecta a presença do gene anormal confirmando o diagnóstico da doença”, pontua Rosângela. A especialista informa ainda que, na primeira consulta, o médico orienta o paciente quanto à doença, quanto ao prognóstico, como deve ser feito o tratamento nesse primeiro momento.
Expectativa
.jpeg)
Fotos: Reprodução
Segundo a hematologista, não existe forma de prevenção para a LMC. Há vinte anos, a LMC era uma doença evolutiva, progressiva e fatal, após a descoberta dos inibidores de tirosinoquinase, que são drogas específicas para o tratamento, a doença hoje se tornou crônica, possibilitando ao paciente uma expectativa de vida próxima à população normal.
Tratamento
Os tratamentos são realizados com os inibidores de tirosino-quinase em primeira e segunda linha e nos pacientes que têm um doador Antígeno Leucocitário Humano. (HLA) compatível, existe a possibilidade de transplante de medula óssea como terceira ou quarta linha de tratamento .
Segundo o Hemoam, foram registrados, neste mês de setembro, mais de 200 pacientes em tratamento.
Fonte: com informações da Assessoria de Comunicação da Secretaria de Estado de Saúde (SES-AM)
Copyright © 2021-2026. Mulher Amazônica - Todos os direitos reservados.